26/12/2023
•
8
Minutos de Leitura
Fala pessoal, tudo bem com vocês?
Quando falamos de glomerulopatias, grande parte dos alunos tem “calafrios” ... maaaas você, leitor do blog Medcel, vai sair na frente dos seus concorrentes depois desse mega resumo sobre apresentações clínicas nas doenças glomerulares. Sente-se confortavelmente e aproveite a leitura; seus insights glomerulares nunca mais serão os mesmos após esse texto!!
Definimos glomerulopatia como qualquer patologia que afete o aparelho glomerular; essas doenças podem ser primárias ou secundárias, e invariavelmente irão acometer uma ou mais das seguintes estruturas glomerulares (figuras 1 e 2):
- Endotélio do capilar glomerular;
- Membrana basal glomerular;
- Epitélio glomerular, ou podócitos;
- Mesângio glomerular.


Isso ocorre por algum estímulo, imunológico ou não, agressão a estruturas glomerulares, cuja repercussão será o aumento da permeabilidade a células (por exemplo, hemácias) e/ou a moléculas médias e grandes (como a albumina). Além disso, em casos mais severos e agudos, pode haver proliferação e infiltrado de células inflamatórias, causando perda aguda (e acelerada) de função renal.
Agora atenção: a apresentação clínica e laboratorial dependerá de alguns fatores, como a intensidade da resposta inflamatória, da(s) estrutura(s) glomerular(es) acometida(s), da mediação ou não por imunecomplexos e, finalmente, da característica da patologia em si.
Sempre (sim, eu disse sempre!), a apresentação clínica e laboratorial das glomerulopatias vai se encaixar em alguma das 5 classificações listadas abaixo (tabela 1); sabendo disso, invariavelmente os casos clínicos apresentados nas provas irão se enquadrar em alguma dessas situações.

Atenção: na prova o examinador gosta muito de colocar correlações clínico-laboratoriais; em glomerulopatias, as mais comuns são relato de urina com espuma associado a proteinúria e urina cor de chá mate (ou café) associada a hematúria.
Lembre-se também de excluir causas de hematúria não glomerular, como litíase, tumores de vias urinárias, traumas, coágulos, cistos com sangramento etc.
Leia mais: Injúria renal aguda: mudança na nomenclatura e como isso pode cair nas provas
Depois dessa introdução, vamos falar um pouco de cada apresentação clínica.
- Hematúria isolada
Esse é um dos achados mais comuns na prática clínica: paciente procura o nefrologista por achado de hematúria isolada, identificada no exame de urina de rotina.
Via de regra, devemos excluir causas não glomerulares; exames de imagem como ultrassonografia ou tomografia são importantes nessa etapa.
Excluídas causas estruturais, vamos analisar a proteinúria, função renal e se há evidência de doenças sistêmicas ativas; se a proteinúria for baixa e estável ao longo do tempo (<500 mg/d), função renal estiver preservada e não houver evidências de outras patologias, vamos acompanhando a paciente sem indicar biópsia na maioria dos casos.
Somente indicamos biópsia renal, caso haja evolução do quadro, com aumento progressivo de proteinúria ou perda de função renal sem outra causa aparente.
- Síndrome nefrótica
Via de regra, as patologias que cursam com síndrome nefrótica tem padrão pouco inflamatório, com pouca ou nenhuma proliferação ou atração de células inflamatórias nos glomérulos, sendo raros os casos em que ocorre perda rápida e acelerada da função renal. Além disso a hematúria em geral não está presente e, como visto na tabela anterior, a proteinúria é o grande marcador laboratorial.
Os achados clássicos em síndrome nefrótica são:
- Proteinúria elevada (> 3,5 g/24h em adultos, ou > 50 mg/Kg/d em crianças);
- Edema importante, anasarca (figuras 3 e 4);
- Hipoalbuminemia, podendo ser severa (albumina sérica < 2,0 g/dL);
- Hipercolesterolemia;
- Aumento do risco de eventos tromboembólicos;
- Sem consumo de complemento;


Das três causas mais comuns de síndrome nefrótica primária, a mais cobrada é a doença de lesões mínimas, principal causa de síndrome nefrótica em crianças e que responde muito bem a corticoterapia.
Vale lembrar também que, na prática clínica, a principal causa secundária de proteinúria nefrótica no mundo é a doença renal do diabetes, anteriormente chamada de nefropatia diabética.
- Síndrome nefrítica
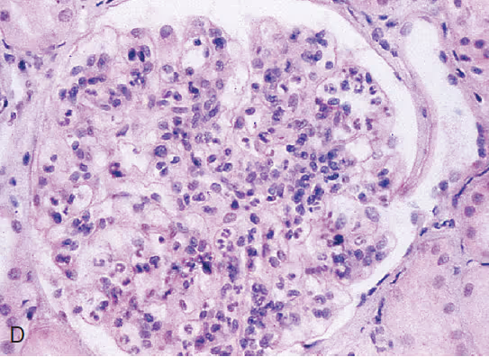
Diferente do que ocorre no quadro nefrótico, na síndrome nefrítica as patologias cursam com um quadro proliferativo, isto é, a agressão imunológica é mais intensa, causando maior quebra de barreira glomerular, com atração e proliferação de células inflamatórias (figura 5).

O achado mais característico é a presença de hematúria glomerular, que tem as seguintes características: presença de dismorfismo eritrocitário (hemácias dismórficas em mais de 40% da amostra ou mais de 5% de acantócitos), associado ou a presença de cilindros hemáticos. A figuras 6 mostra essas alterações clássicas.

De forma resumida, os achados clássicos em síndrome nefrítica são:
- Hematúria glomerular;
- Início agudo do quadro clínico;
- Proteinúria baixa a moderada;
- Edema e hipertensão arterial;
- Oligúria.
- Em geral, há ativação e consumo do sistema complemento no processo inflamatório glomerular.
Nas provas, as patologias mais cobradas associadas a síndrome nefrítica são a glomerulonefrite pós estreptocócica, mais comum em crianças e de evolução autolimitada, e a nefrite lúpica, mais frequente em mulheres jovens e associada a outras alterações sistêmicas da patologia, como artrite, rash, anemia, serosites etc.
- Glomerulonefrite rapidamente progressiva (GNRP)
A GN rapidamente progressiva não é uma patologia em si, mas uma evolução grave de patologias especialmente do espectro nefrítico. A perda de função renal ocorre de forma rápida, e, se não tratada adequadamente, a disfunção pode ser irreversível.
O substrato anatomopatológico da GNRP são os crescentes celulares, definido como a presença de duas ou mais camadas de células no espaço de filtração (ou espaço de Bowman), levando a obstrução da formação do ultrafiltrado (figura 7).

As patologias mais associadas a essa evolução são as formas proliferativas da nefrite lúpica (classes 3 e 4), as vasculites ANCA relacionadas e a síndrome (ou doença) de Goodpasture.
O tratamento exige, geralmente, imunossupressão agressiva com corticoide endovenoso em pulso, além de um segundo imunossupressor (em geral a ciclofosfamida).
- Glomerulonefrite cronificada
Nesse caso, a agressão glomerular já ocorreu, deixando sequela de perda crônica de função renal; na biópsia, observamos substituição do parênquima renal saudável por esclerose dos glomérulos, além de fibrose túbulo-intersticial. É a evolução final comum de todas as glomerulopatias não tratadas corretamente.
Pessoal, esse foi um resumo das apresentações clínicas nas glomerulopatias. Com base nesse roteiro, estudem as principais patologias de cada grupo; doenças glomerulares é tema certo nas provas!
E aí, gostou desse texto? Se gostou, compartilhe com seus amigos e para mais dicas siga a Nova Medcel nas redes sociais.
Por Thiago Diaz
Especialista em Clínica Médica e Nefrologia pelo Hospital das Clínicas da Faculdade de Medicina da USP (HC-FMUSP).
Nefrologista titulado pela Sociedade Brasileira de Nefrologia - SBN.
Nefrologista do corpo clínico do hospital Samaritano, São Paulo.
Professor de Nefrologia no grupo Afya Medcel.
Aproveite para ler também:
Insuficiência Renal: entenda mais detalhes da doença e o tratamento indicado
Tudo o que você precisa saber sobre a carreira médica do Nefrologista
Referências:
- FEEHALLY, J. et al. Comprehensive clinical nephrology. 6a ed. [s.l.]: Elsevier, 2019.
- ROVIN, B.H. et al. Executive summary of the KDIGO 2021 Guideline for the Management of Glomerular Diseases. Kidney International, Londres, v. 100, n. 4, p. 753-779, out. 2021. DOI: 10.1016/j.kint.2021.05.015.
Shutterstock. Magic Mine. https://www.shutterstock.com/pt/image-illustration/human-urinary-system-kidneys-anatomy-3d-1363551152
.jpg)






.avif)







%2520(1).avif)




