25/5/2023
•
6
Minutos de Leitura
oenças benignas da mama é um assunto de Ginecologia que as bancas curtem cobrar, tanto Residência, quanto Revalida. Elas abrangem todos os tumores comuns benignos ou lesões que afetam o tecido mamário. Dentre as doenças infecciosas, mastites agudas puerperais é a campeã de questões. Já as lesões benignas agudas: cistos mamários (mais comum em torno dos anos), fibroadenoma (mais comum em pacientes jovens), papiloma, tumor phyllodes. Outras três patologias que as bancas gostam: mastalgia, derrames papilares e eczema areolar. Bora lá?
Leia mais: Dicas de Ginecologia e Obstetrícia para a prova de Residência
O que são as mastites agudas puerperais?
Esse é o assunto mais cobrado das provas dentre os citados. As mastites agudas puerperais são processos inflamatórios na mama associados à lactação. Sendo a principal causa relacionada com a pega incorreta do recém-nascido, que causa fissuras na mama, porta de entrada para bactérias ou pela estase de leite. Primeiro ocorre o ingurgitamento, as mamas ficam edemaciadas e dolorosas, se não tratado evolui para a mastite.
O agente mais comum é o Staphylococcus aureus. No geral é unilateral, cursa com dor, febre, eritema localizado e queda do estado geral. O tratamento é analgesia e antibioticoterapia (quadro abaixo). Pode evoluir para abscesso, se presente tem que drenar. E, fique de olho: a amamentação na mama acometida não deve ser suspensa, somente se a paciente tiver dor e se presença de abscesso até que seja feito a drenagem e antibioticoterapia iniciado. E o esvaziamento deve ser estimulado.

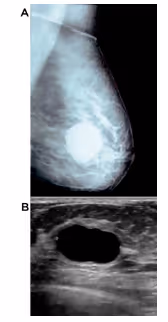
Cistos mamários
Frequente na faixa dos 35 a 40 anos. São lesões dolorosas, redondas, bem delimitadas, móveis, de consistência mole ou endurecidas, de crescimento rápido. Ocorre uma obstrução do ducto e acumula-se líquido. No exame de imagem: lesões circunscritas, anecoicas, com reforço acústico posterior. A conduta é esperar que o tumor regrida espontaneamente.
Se cistos muito pequenos, espessos e muito dolorosos é necessário a punção aspirativa por agulha fina (PAAF) para definir o diagnóstico. O risco de malignidade é menos de 0,1%. Ele é classificado em cistos simples (considerar punção aspirativa se maior de 2cm e seguimento anual), complicado (ou espesso seguimento anual) ou complexo (é sólido é necessário biópsia ou exérese).
Figura 1.1 – Cisto mamário

Fonte: (A) Giant breast cyst: a rare clinical entity, 2018; (B) A Study and Analysis of Hybrid Intelligent Techniques for Breast Cancer Detection Using Breast Thermograms, 2015.
Fibroadenoma
É um tumor benigno mais frequente na faixa dos 20 a 30 anos, acomete de 10 a 15% das mulheres. São lesões unilaterais, móveis a palpação, indolor, fibroelástica, bem delimitado, de até 3 a 5 cm, no geral regridem espontaneamente. Importante ressaltar que esse tipo de tumor não tem risco para malignidade (menos de 2%).
E, abra o olho, embora sejam lesões hormônio-dependentes, expressam receptores para estrogênio e progesterona, não tem relação com o uso de anticoncepcionais hormonais, então não é necessário interromper seu uso.
O diagnóstico inicial é feito pelo quadro clínico e ultrassonografia (USG), mas o definitivo só por exame histológico da lesão. Às vezes as bancas cobram a descrição da imagem: nódulo regular ou macrolobulado, hipoecoico, horizontal e sem sombra acústica posterior. Na interpretação do achado, é classificado como BI-RADS 3. Se não palpável, não se realiza a biópsia, somente controle clínico e radiológico a cada 6 meses, por 2 anos. Após estabilidade, o seguimento é anual. A exérese cirúrgica fica restrita nos casos de prejuízo estético/emocional, desejo da paciente ou se houver mudanças no crescimento.
Figura 1.2 - Fibroadenomas ao exame ultrassonográfico

Papiloma
É uma lesão proliferativa dos ductos maiores subareolares, única, tem caraterística clínica de fluxo papilar hemorrágico, espontâneo e intermitente. Abra o olho aqui para não cair em pegadinhas, a causa é o papiloma e não o câncer. Aparece na pré-menopausa, em pacientes acima de 60 anos, aí sim tem que investigar carcinoma papilífero. O papiloma é uma lesão benigna, mas é um marcador de risco para câncer de mama. Em alguns casos pode haver papilomatose, caracterizado por lesões múltiplas e fluxo menos frequente. Nesse caso, tem que realizar biópsia.
Tumor phyllodes
Também conhecido como “tumor filoide”, é raro e aparece em torno dos 45 anos. É um tipo de neoplasia que ocorre uma proliferação do estroma e do parênquima com alta celularidade. A análise histopatológica é semelhante ao fibroadenoma, mas com celularidade muito alta. Ele tem um arranjo similar a uma folha, por isso se chama phyllodes (folha, em latim). São sólidos, consistência fibroelástica, móveis à palpação e crescem rápido (diferente do fibroadenoma, que tem crescimento lento). Deforma a mama e por isso é necessário a ressecção com margem, pode ter risco para malignidade (raros casos).
Figura 1.3 - Tumor phyllodes com importante deformidade mamária

Fonte: Case report of a 30.8 pound cystosarcoma phyllodes of breast, 2009.
Mastalgia cíclica
É uma das queixas mais comuns na prática clínica. É caracterizado por dor nas mamas (bilateral) e difusa. É necessário investigar se tem ou não relação com a menstruação para descartar quadros inflamatórios da região torácica. No fim do ciclo menstrual os hormônios estão elevados, e eles têm efeito proliferativo na mama. No geral o exame de imagem é normal. O tratamento é feito com analgésicos simples ou se dor importante, tamoxifeno 10 mg/dia por 3 a 6 meses.
Derrames papilares
Também conhecido como descargas papilares, comuns na menacma. São bilaterais, multiductais, multicoloridos com expressão mamária provocada são considerados fisiológicos. Os derrames patológicos que devem ser investigados são espontâneos, sanguinolentos ou “água de rocha”, unilaterais e/ou uniductais. Se presente em mulheres acima de 40 anos, ou com massa mamária, deve ser investigado. Tem que fazer diagnóstico diferencial com galactorréia e dever ser pedido prolactina sérica.
Eczema areolar
A Eczema areolar é uma inflamação na aréola e mamilo com descamação, exsudação e prurido. No geral bilateral, bordes indefinidos e responde à corticoides tópicos. Se a lesão persistir, tem que biopsiar para investigar a doença de Paget.
Bons estudos!
Leia mais:
Residência Médica em Ginecologia e Obstetrícia: tudo o que você precisa saber
Ginecologista e Obstetra: saiba mais sobre a carreira médica
Residência médica na prática: Câncer de mama
Prepare-se paras as provas com a Medcel!
A Medcel tem cursos preparatórios para você sair na frente nos processos seletivos de Residência Médica. Entre no nosso site e teste a plataforma por 7 dias grátis! CLIQUE AQUI e comece sua jornada com a gente.
Gostou desse artigo?
Compartilhe com amigos, assine nossa newsletter e fique sempre por dentro dos assuntos mais quentes da Medicina.
REFERÊNCIAS
ARORA, B. K. Giant breast cyst: a rare clinical entity. MOJ Clinical & Medical Case Reports, v. 8, n. 4, Aug. 2018. Disponível em: https://www.researchgate.net/publication/326735879_Giant_breast_cyst_a_rare_clinical_entity. Acesso em: 23 set. 2021.
GOGOI, Usha Rani et al. A Study and Analysis of Hybrid Intelligent Techniques for Breast Cancer Detection Using Breast Thermograms. In: BHATTACHARYYA, Siddhartha; DUTTA, Paramartha; CHAKRABORTY, Susanta (ed.). Hybrid Soft Computing Approaches: Research and Applications. [India]: Springer India, 2015. Disponível em: https://www.researchgate.net/publication/281232917_A_Study_and_Analysis_of_Hybrid_Intelligent_Techniques_for_Breast_Cancer_Detection_Using_Breast_Thermograms. Acesso em: 24 set. 2021.
HIERS, Connie; COOK, John; SALES, Elizabeth. Case report of a 30.8 pound cystosarcoma phyllodes of breast. Journal of the Arkansas Medical Society, Little Rock, AR, v. 106, n. 6, p. 134-136, 2009.
YONSO, Mohammad Osama Hussein. Fibroadenoma of breast. In: RADIOPAEDIA. Cases. [S. l.], 31 mar. 3012. https://radiopaedia.org/cases/17278. Acesso em: 24 set. 2021.
Shutterstock - Gorodenkoff. Disponível em: https://www.shutterstock.com/pt/image-photo/computer-screen-hospital-radiology-room-beautiful-1942278202. Acesso em 25 mai. 2023.
.jpg)






.avif)







%2520(1).avif)




