27/12/2023
•
5
Minutos de Leitura
Hey, tudo certo???
Derrame Pleural (DP) é um dos assuntos da Clínica Médica que vira e mexe cai em alguma questão e é mais comum na prática do que você imagina. O derrame pleural é caracterizado pelo acúmulo anormal de fluido na cavidade pleural, e existem várias etiologias (eu trouxe para você as que mais são cobradas nas provas).
O quadro clínico principal é de dispneia aos esforços e tosse, seca ou produtiva. Como é muito inespecífico, eu trouxe algumas características para você não dar bobeira. Outro tópico essencial são os exames de imagem e a toracocentese, então eu fiz um super resumo do que não pode faltar nos teus estudos! É só continuar a leitura.
Leia mais: Residência médica na prática: tudo sobre pneumonia
Derrame Pleural
Normalmente, existe de 0,1 a 0,2 mL/kg de líquido entre as pleuras, com produção e reabsorção contínuas. O líquido é produzido pela pleura parietal e é drenado pelos linfáticos da própria pleura parietal. Qualquer doença que modifique essa dinâmica pode promover a formação do DP:4
- Aumento da pressão hidrostática capilar pulmonar — Como a insuficiência cardíaca (quando o coração não consegue bombear eficientemente o sangue, ocorre um acúmulo de líquidos nos tecidos, incluindo a cavidade pleural, os vasos estão cheios de líquido, faz com que extravase para espaço pleural).
- Aumento da permeabilidade vascular pleural — Em processos inflamatórios.
- Acúmulo de sangue ou quilo no espaço pleural —No trauma (lesões na caixa torácica, como fraturas de costelas ou acidentes de carro, podem causar derrame pleural devido ao dano às membranas pleurais).
- Redução da pressão coloidosmótica do plasma — Hipoalbuminemia grave, síndrome nefrótica.
- Negativação excessiva da pressão intrapleural — Atelectasias grandes.
- Passagem de líquido da cavidade peritoneal — Hidrotórax hepático.
Etiologias do Derrame Pleural
As etiologias mais frequentes do Derrame Pleural são a insuficiência cardíaca congestiva, o derrame parapneumônico e o derrame neoplásico. No Brasil, há também uma incidência de tuberculose pleural. E podemos classificar de acordo com grau de inflamação do fluido em: transudatos (pouca inflamação) e exsudatos.
Nos transudatos, estão: insuficiência cardíaca, cirrose hepática, síndrome nefrótica, embolia pulmonar, hipoalbuminemia grave, entre outros. Nos exsudatos temos: pneumonia, tuberculose, neoplasia, embolia, hemotórax, quilotórax, pós-cirurgia, entre outros.
A dica para você lembrar é que os transudatos decorrem de alguma doença sistêmica; já os exsudatos, de uma doença que está ocorrendo ativamente na pleura.
Sintomas de Derrame Pleural
Os sintomas de Derrame Pleural podem variar dependendo da etiologia. No geral, cursa com a dispneia aos esforços e tosse, seca ou produtiva. Mas vamos ver cada uma mais especificamente:
- Dor torácica: que pode ser aguda ou leve, dependendo da quantidade de líquido e da causa;
- Dispneia: principalmente se houver uma grande quantidade de líquido presente;
- Tosse: que pode ser seca ou produtiva, dependendo da causa do derrame pleural;
- Tosse com expectoração: muitas vezes associada à causa subjacente, como infecção ou câncer;
- Sintomas relacionados à doença subjacente, se houver, como febre, perda de peso, fadiga, entre outros.
Você deve ficar ligado na semiologia de Derrame Pleural a que mais aparece em prova é: macicez à percussão (porque tem líquido), murmúrio vesicular abolido (pulmão está colabado naquela região do derrame) e frêmito toracovocal abolido. Agora mais detalhadamente:
- Na inspeção: hemitórax pode estar abaulado e a expansibilidade reduzida.
Sinal de Lemos Torres: abaulamento do espaço intercostal à expiração;
- Na palpação: frêmito toracovocal abolido e expansibilidade diminuída;
- Na percussão: macicez. E um sinal que pode cair na prova é o Sinal de Signorelli (macicez à percurssão da coluna vertebral);
- Na ausculta: murmúrio vesicular abolido na região do DP. Broncofonia/egofonia na zona de transição (som metálico).
Diagnóstico de Derrame Pleural
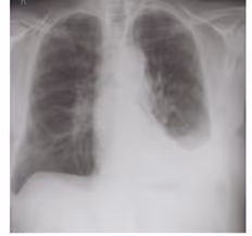
O diagnóstico de Derrame Pleural é realizado por meio do exame físico e pela boa e velha radiografia de tórax.

Às vezes, o líquido pode não estar livre na cavidade pleural, recebendo o nome de derrame pleural loculado e aí o diagnóstico depende de outros métodos como tomografia computadorizada (TC) de tórax. Isso, porque ela fornece detalhes mais precisos sobre a quantidade e a localização do derrame pleural, bem como ajuda a identificar a causa subjacente. Já a ultrassonografia é útil para avaliar o tamanho e a localização do derrame pleural.
Tratamento para Derrame Pleural
O tratamento para Derrame Pleural depende da causa subjacente e pode incluir drenagem do líquido pleural (toracocentese) para aliviar a dispneia e investigar a causa. Além do tratamento da doença subjacente, como antibióticos para infecções ou terapias específicas para câncer.
Fique ligado nas indicações de toracocentese:

Algoritmo na análise de DP:

Bons estudos!
Leia mais:
Tuberculose Infantil: saiba os sintomas, tratamento e mais
Tudo sobre Trombose Venosa Profunda (TVP) para as provas
Prepare-se para a prova com a Medcel!
A Medcel tem cursos preparatórios para você sair na frente nos processos seletivos de Residência Médica. Entre no nosso site e teste a plataforma por 7 dias grátis! CLIQUE AQUI e comece sua jornada com a gente.
Gostou do artigo? Compartilhe com amigos, assine nossa newsletter, acompanhe a Medcel nas redes sociais e fique sempre por dentro dos assuntos mais quentes da Medicina.
Referências
Shutterstock. Orawan Pattarawimonchai. https://www.shutterstock.com/pt/image-photo/young-ill-female-have-cough-shortness-2010573134
.jpg)






.avif)







%2520(1).avif)




